Es ist soweit, wir eröffnen unser Trächtigkeitstagebuch für den F-Wurf.
Dies werden wir regelmäßig aktualisieren und wenn es etwas Neues zu berichten gibt, findet man dies demnächst hier.....
    
11.09.2025
    
Die Verpaarung hat diese Woche stattgefunden💕.
Wir werden dann in ca. 4 Wochen beim einem Ultraschall sehen ob Ruby trächtig ist 🤗.
 
    
 
    
    
22.09.2025

    
Vom 8. bis 15. Tag nach der Befruchtung erreichen die Embryonen die Gebärmutter.
    
Ruby geht es sehr gut.
Ansonsten bemerke ich bis jetzt noch keine großen Veränderungen.
    
25.09.2025

    
03.10.2025
    
Es ist mal wieder Zeit für einen Eintrag im Trächtigkeitstagebuch für alle die da "draußen" die Daumen drücken.
    
    
15.- 22. Tag: Keimbläschen (Blastocyten) setzen sich in der Gebärmutterwand fest.
Hündin setzt zähflüssigen, klaren Schleim ab (Deckakt erfolgreich). Ruby verliert in dieser Zeit etwas Schleim. Auch sonst gibt es einige Anzeichen für die Trächtigkeit. Sie schläft mehr und ist sehr anhänglich. Hat es wirklich geklappt!?

    
09.10.2025
    
    
Tag 30-32 - Alle wichtigen Organsysteme sind angelegt. Die Embryonalentwicklung ist abgeschlossen, die endgültige Körperform des Hundewelpen in ihren Grundzügen ist erkennbar, so wie die Gliedmaßenanlage in Form der Handplatte, die beginnende Ausbildung der Tasthaare an den Lippen und die Anlage der Augenbrauen. Die Zitzenpaare sind bereits gut erkennbar. Männliche und weibliche Sexualmerkmale werden sichtbar, die Augenlider schliessen sich.
 
    

 
    
    
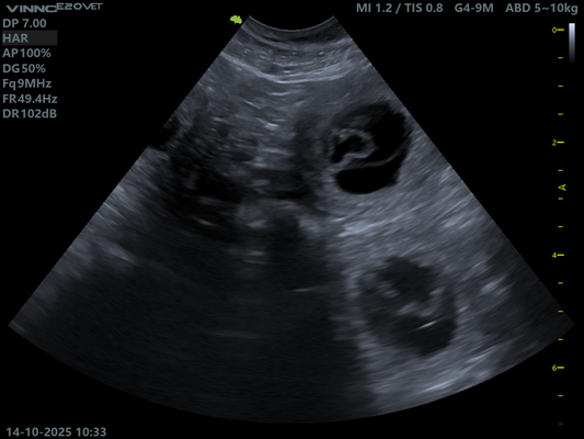
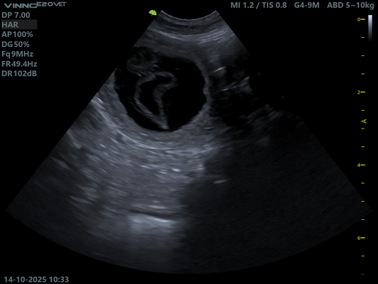
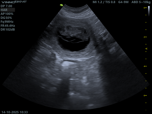
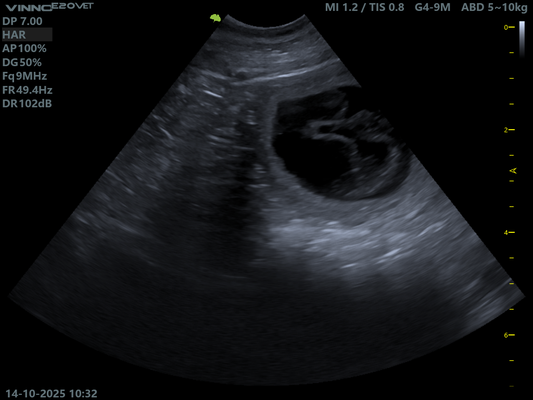
14.10.2025 Ultraschall Untersuchung.
 
    
Schon nach einem kurzen Blick in Ruby's Bauch war klar.
Sie ist tragend!
Doch wie viele es werden bleibt bis zuletzt spannend.
Hier müssen wir uns absolut keine Sorgen machen. Ruby scheint einen normalen Wurf zu erwarten, so auch die Aussage unserer Tierärztin.
Wir freuen uns wie verrückt auf die kommende Zeit!
Jetz können wir nur noch die Daumen drücken, dass die Trächtigkeit auch weiterhin gut verläuft.
    
Wir werden weiterhin regelmäßig berichten. 😀
    
15.10.2025
 
    
 
    
    
18.10.2025
    
Tag 39 und das Bäuchlein lässt sich nicht mehr verstecken. Bikinifigur Adieu 😳!
Ruby ist absolut entspannt , ausser es geht um's Futter. Ist doch irgendwie immer viel zu wenig in ihrer Schüssel!
Ruby ist weiterhin aktiv, sie liebt immer noch unsere Gassigänge und ist draußen unterwegs. Ihr Tempo ist immer noch das Alte, nur gespielt und getobt wird nicht mehr.
 
    
 
    
 
    
    
19.10.2025

    
23.10.2025
    
    
Tag 44.
    
Ruby's Bäuchlein wächst und wächst !
Ihr Wohlbefinden ist uns sehr wichtig. Stress bei einer Mutterhündin ist nicht nur für sie sondern auch für die Welpen schädlich, da sie im Mutterleib den Hormonen und Botenstoffen bereits ausgesetzt sind. Schön, wenn man sagen kann, eine entspannte souveräne Hündin sein Eigen zu nennen, die dass an ihren Nachwuchs im Bäuchlein schon weiter gibt :)
Die Föten spüren schon Wochen vor der Geburt Vibrationen, Schmerz und Kältereize.
Die kleinste Veränderung versuche ich wahr zu nehmen, mitunter hat sich ihr Gangbild mit dem zunehmenden Gewicht schon ein wenig verändert.
Es ist und bleibt spannend!
 
    

    
25.10.2025

    
29.10.2025
    
Heute haben wir bereits den 50. Tag der Trächtigkeit, kaum zu glauben, wie schnell die Zeit jetzt vorbei gegangen ist 🕰...
Ruby geht es weiterhin prima, sie frisst sehr gut und hat immer Hunger, aber gut, da müssen sich jede Menge Babies versorgt werden...etwas beschwerlicher wird es aufgrund der immer größer werdenden Kugel nun für sie, aber sie meistert das ganz toll ❤️!
 
    
 
    
    
    
    
    
Urheberrecht
    
Die Inhalte auf dieser Webseite sind urheberrechtlich geschützt. Sofern nicht
anders vermerkt, ist für die Verwendung,
Weitergabe oder Auswertung der Dokumente, Bilder und andere Inhalte die schriftlichen Genehmigung
durch den Autor und Betreiber dieser Website erforderlich.
    
Wer gegen das Urheberrecht verstößt
(z.B. Bilder, Video oder Texte unerlaubt
kopiert), macht sich gem.§§ 106ff UrhG
strafbar, wird zudem kostenpflichtig abgemahnt
und muss Schadensersatz leisten
(§ 97 UrhG).